纯化的抗IV型胶原蛋白抗体可用于ELISA、免疫组化/免疫细胞化学、电子显微镜、流式细胞术、西方印迹和免疫沉淀实验。
作为SouthernBiotech在中国的区域总代理,艾美捷科技强烈推荐SouthernBiotech热销产品山羊抗IV型胶原蛋白-无偶联。产品仅用于科研,不可用于临床诊断。
| 产品名称 | 货号 | 详情 |
山羊抗IV型胶原蛋白-无偶联 | 1340-01 | 查看 |
山羊抗IV型胶原蛋白-无偶联:
同种型:山羊IgG
同种型对照:山羊IgG-UNLB
特异性:与IV型胶原蛋白上的构象决定簇发生反应
来源:从用IV型胶原蛋白超免疫的山羊中收集的混合抗血清
交叉吸附:I型、II型、III型、V型和VI型胶原蛋白
纯化方法:在与琼脂糖共价连接的IV型胶原蛋白上进行亲和层析
偶联物:UNLB(未偶联)
缓冲液配方:硼酸盐缓冲生理盐水,pH 8.2
克隆性:多克隆
浓度:0.4 mg/mL
体积:0.5 mL
推荐储存:2-8°C
应用:
质量检测的相关应用包括:
ELISA
FLISA
其他引用的相关应用包括:
免疫组化-石蜡切片
免疫组化-冷冻切片
免疫细胞化学
电子显微镜
流式细胞术
西方印迹
免疫沉淀
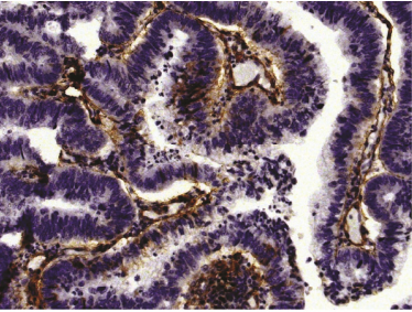
产品图片:

人胃癌组织用山羊抗IV型胶原蛋白-UNLB(SB货号1340-01)染色,随后用猪抗山羊IgG(H+L)、人/大鼠/小鼠SP吸附-HRP(SB货号6300-05)进行染色。
文献参考:
1. Rasmussen LM, Hansen PR, Ledet T. Homocysteine and the production of collagens, proliferation and apoptosis in human arterial smooth muscle cells. APMIS. 2004;112:598-604. (ELISA, Human Reactivity)
2. Wang S, Wilkes MC, Leof EB, Hirschberg R. Imatinib mesylate blocks a non-Smad TGF-β pathway and reduces renal fibrogenesis in vivo. FASEB J. 2005;19:1-11. (ELISA, IHC-PS, WB, Rat Reactivity)
3. Ahn Y, Kim SK, Lee S, Ahn S, Kang SW, Chung J, et al. Renoprotective effect of Tanshinone IIA, an active component of Salvia miltiorrhiza, on rats with chronic kidney disease.. Phytother Res. 2010;24:1886-92. (ELISA, IHC-PS, Rat Reactivity)
SouthernBiotech(SBA)公司建于1982年,致力于为免疫研究的科学家提供各种亲和纯化的多克隆和单克隆二抗和其它特异性抗体,其中包括:荧光素和酶标记物,低内毒素/不含叠氮化物制剂,F(ab)和F(ab’)299片段化抗体,此外还有纯化的免疫球蛋白、血清以及细胞外基质蛋白等产品。作为SouthernBiotech在中国的区域总代理,艾美捷科技有限公司将为中国客户提供全面的SouthernBiotech产品以及客户订制化服务。


微信扫码在线客服