
Cytoskeleton 官网:https://www.cytoskeleton.com/

Cytoskeleton成立于1993年,总部位于美国科罗拉多州丹佛市(Denver),是一家由科学家创立并持续驱动的创新型生物技术公司。30余年来,Cytoskeleton始终专注于细胞骨架与信号转导领域的研究工具开发,尤其在肌动蛋白(Actin)、微管蛋白(Tubulin)、小G蛋白(Small GTPases)以及活细胞成像研究领域,拥有全球领先的高纯度蛋白制备技术和专利保护的检测体系,已成为细胞骨架研究与药物发现领域最值得信赖的合作伙伴之一。
优势 | 描述 |
5W+文献认可 | 50,000+文献引用,产品被全球顶尖学术实验室广泛采用 |
30+年专业积累 | 自1993年专注蛋白生物化学与细胞骨架研究 |
严格质量控制 | 每批次3-5个QC参数,确保产品一致性和可重复性 |
400+创新产品 | 持续开发新型试剂盒和检测工具 |
专业技术支持 | 经验丰富的科学家团队提供实验设计和 troubleshooting 支持 |
肌动蛋白是细胞骨架的核心组分之一,在细胞运动、细胞分裂、肌肉收缩和细胞信号转导中发挥关键作用。Cytoskeleton提供业界最全面的肌动蛋白研究工具,涵盖纯化蛋白、荧光标记探针、聚合检测试剂盒及肌动蛋白结合蛋白。
Acti-stain荧光鬼笔环肽系列
Acti-stain荧光鬼笔环肽是固定细胞和组织中F-肌动蛋白染色的金标准。Cytoskeleton提供多种波长的荧光标记鬼笔环肽,包括488(绿色)、555(橙红色)、670(远红)等,被400+篇文献引用,以亮度高、特异性强、操作简便著称。
产品名称 | 货号 | 激发/发射 | 特点 |
Acti-stain 488 | PHDG1 | 500/520 nm | 明亮绿色荧光 |
Acti-stain 555 | PHDH1 | 555/565 nm | 橙红色荧光 |
Acti-stain 670 | PHDN1 | 650/670 nm | 远红荧光,低背景 |
Actin生化检测试剂盒
Cytoskeleton的Actin Biochem Kits系列提供全面的肌动蛋白聚合与结合检测方案,可实时监测肌动蛋白聚合动力学,筛选肌动蛋白结合蛋白和调控小分子。
货号 | 名称 | 检测原理 | 应用 |
BK001 | Actin 结合蛋白分析试剂盒 | 离心沉淀法 | Actin 结合蛋白筛选鉴定 |
BK003 | Actin 聚合检测试剂盒 | 荧光法 | 肌动蛋白聚合动力学、药物筛选 |
BK037 | G-Actin/F-actin 体内分析试剂盒 | 离心沉淀法 | G-Actin/F-actin比例检测 |
微管是细胞骨架的另一重要组分,在细胞分裂、细胞内运输、细胞形态维持和细胞运动中发挥核心作用。自1993年以来,Cytoskeleton一直为科学界提供纯化的微管蛋白产品,所有产品均经过严格的质量控制,确保纯度和生物活性。
高纯度微管蛋白
Cytoskeleton提供来自不同物种和组织的微管蛋白,包括猪脑微管蛋白(纯度>99%)、用于高通量筛选的HTS级微管蛋白,以及冻干形式的微管蛋白,便于全球运输和长期保存。
产品名称 | 货号 | 纯度 | 应用 |
Tubulin蛋白(猪脑) | T240 | >99% | 常规微管研究 |
Tubulin蛋白(牛脑) | HTS02 | >97% | 高通量药物筛选 |
Tubulin生化检测试剂盒
基于荧光的微管蛋白聚合检测试剂盒(BK011P)是Cytoskeleton的明星产品,可实时监测体外微管蛋白聚合过程,广泛用于微管相关蛋白(MAP)表征和抗有丝分裂药物筛选。该试剂盒使用纯度>99%的微管蛋白,结果可靠、重复性好。
货号 | 名称 | 检测原理 | 应用 |
BK011P | Tubulin Polymerization Assay Kit | 吸光度法(340nm) | 微管蛋白聚合、紫杉醇/长春碱类似物筛选 |
BK029 | 微管结合蛋白分析试剂盒 | 离心沉淀 | Tubulin 结合蛋白筛选鉴定 |
小G蛋白(Small GTPases)是细胞信号转导的关键分子开关,在调控细胞增殖、分化、运动和形态中发挥核心作用。Rho家族(Rho、Rac、Cdc42)、Ras家族和Arf家族是小G蛋白的主要亚家族。自1994年以来,Cytoskeleton一直处于小G蛋白研究的前沿,与领域先驱Alan Hall博士合作,推出了首个小GTPase试剂产品线,至今已被超过4,000篇文献引用。

G-LISA激活检测技术
G-LISA是Cytoskeleton开发的创新ELISA格式小G蛋白激活检测技术,相比传统的pull-down方法具有显著优势:仅需10-50 μg蛋白(传统方法需500-2000 μg),检测时间<3小时(传统方法需10-12小时),可同时处理96个样品,提供定量数据输出,且兼容原代细胞和3D培养基质。
传统Pull down法 | G-LISA | |
原理 | 用包被效应蛋白的亲和磁珠选择性的结合有活性的GTPase,用western blot检测信号 | 用包被效应蛋白的96孔板选择性的结合有活性的GTPase 用ELISA检测信号 |
实验设备 | SDS-PAGE、Western blot相关仪器 | ELISA相关仪器 |
上样量 | 300 - 2000 ?g per assay | 5 - 50 ?g per assay |
样品数量 | Up to 10 samples | Up to 96 samples (or more) |
结果定量 | WB具有很窄的线性范围。此外,样品的多次操作也会导致某种程度上的变异分析。 | 提供精确定量的数字读数 |
反应时间 | 10-12h | <3h |
对比视频网址 | ||
相关产品推荐:
G-LISA 格式 | Pull-down 格式 |
Bundle RhoA/Rac1/Cdc42 G-LISA Assay (BK135) RhoA G-LISA Assay (Cat. # BK124, 比色法) RhoA G-LISA Assay (Cat. # BK121, 发光法) Rac1,2,3 G-LISA Assay (Cat. # BK125) Rac1 G-LISA Assay (Cat. # BK128, 比色法) Rac1 G-LISA Assay (Cat. # BK126, 发光法) Cdc42 G-LISA Assay (Cat. # BK127) RalA G-LISA Assay (Cat. # BK129) Ras G-LISA Assay (Cat. # BK131) | Combo RhoA/Rac1/Cdc42 Pull-down Assay (BK030) RhoA Pull-down Assay (Cat. # BK036) Rac1 Pull-down Assay (Cat. # BK035) Cdc42 Pull-down Assay (Cat. # BK034) Ras Pull-down Assay (Cat. # BK008) Arf1 Pull-down Assay (Cat. # BK032-S) Arf6 Pull-down Assay (Cat. # BK033-S) |
G-Switch激活剂/抑制剂
G-Switch系列是Cytoskeleton开发的细胞通透性小G蛋白调控试剂,可在1-4小时内特异性激活或抑制内源性Rho GTPase,无需过表达,即可获得快速、生理相关的结果。例如,Rho激活剂II(CN03)和Rac激活剂(CN04)是研究小G蛋白信号通路的理想工具。
货号 | 名称 | 靶点 | 作用机制 |
CN01 | RhoA激活剂 | RhoA | 直接激活RhoA,诱导应力纤维形成 |
CN02 | Rac1 & Cdc42激活剂 | Rac1 & Cdc42 | 直接激活Rac1,诱导板状伪足形成 |
CN06
| Rho 抑制剂 | Rho | Rho 通路抑制 |
活细胞成像技术使研究人员能够实时观察细胞内的动态过程,是细胞生物学研究的重要工具。Cytoskeleton提供一系列高性能的活细胞成像探针,包括与Spirochrome合作开发的SiR & SPY探针系列,FastAct 系列,Flipper-TR膜张力探针以及MemGlow膜探针系列。
SiR & SPY探针是荧光性、细胞通透性的jasplakinolide衍生物,在远红光区域发射,可减少光毒性和自发荧光干扰。SiR-Actin和SiR-Tubulin是活细胞中肌动蛋白和微管蛋白成像的理想选择,兼容Cy5滤光片组,适用于长时间活细胞成像实验。
Spirochrome 相关产品及特点(详细产品参见:Spirochrome手册):
细胞渗透性:轻松穿透细胞膜,无需显微注射或转染
荧光生成技术:仅在结合靶点时发光,背景极低,信噪比优异
低细胞毒性:支持数小时至数天的长时间活细胞成像
超分辨兼容:适用于宽场、共聚焦和超分辨显微镜(STED、SIM)
货号 | 名称 | 靶点 | 激发/发射 | 应用 |
CY-SC001 | SiR-Actin | F-肌动蛋白 | 650/670 nm | 活细胞肌动蛋白骨架成像 |
CY-SC002 | SiR-Tubulin | 微管蛋白 | 650/670 nm | 活细胞微管动态观察 |
CY-SC007 | SiR-DNA | DNA | 650/670 nm | 活细胞核染色、有丝分裂观察 |
CY-SC012 | SiR-Lysosome | 溶酶体 | 650/670 nm | 溶酶体动态与自噬研究 |
CY-SC014 | SiR-ER | 内质网 | 650/670 nm | 内质网形态与功能研究 |
CY-SC020 | Flipper-TR | 膜张力 | 488/600±50nm | 细胞膜张力检测 |
MemGlow膜探针系列
MemGlow是Cytoskeleton开发的荧光膜探针家族,具有亮度高、细胞毒性低、特异性强的特点。MemGlow 488是其中代表产品,已在多种显微镜方法和样品类型中得到验证,是活细胞膜标记和细胞边界可视化的优秀工具。
HAK-actin扩展显微镜探针
HAK-actin是Cytoskeleton开发的先进扩展显微镜探针,可在扩展显微镜技术中以惊人的高对比度显示肌动蛋白结构,为超分辨率细胞骨架成像提供了强大的工具。
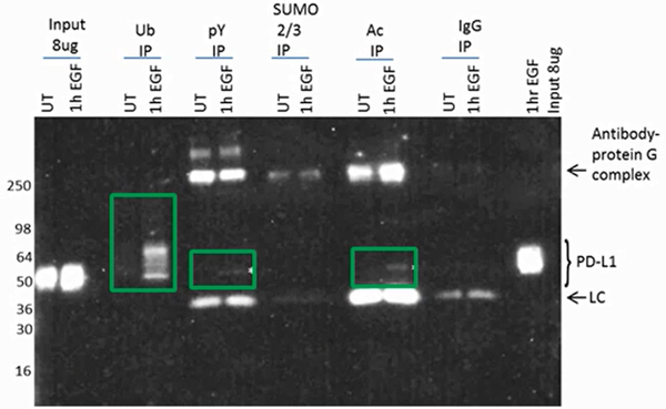
翻译后修饰(PTMs)是对蛋白质的动态、严格调节的化学修饰,通过调节蛋白质的结构、空间定位和相互作用来控制其功能。主要PTM类型包括磷酸化、乙酰化、泛素化和SUMO化等。PTM的错误调节与癌症、心力衰竭、神经退行性疾病和代谢性疾病等密切相关。

Signal-Seeker是Cytoskeleton开发的全面PTM检测解决方案,使专业和非专业人士都能轻松分析关键调控蛋白修饰。该系列提供亲和磁珠系统,可从任何细胞或组织裂解液中分离和富集修饰蛋白,然后通过标准Western blot程序分析富集的蛋白群。
产品名称 | 货号 | 检测目标 |
泛素化检测试剂盒 | BK161 | 单泛素化、多元泛素化、多聚泛素化 |
磷酸酪氨酸检测试剂盒 | BK160 | 酪氨酸磷酸化修饰 |
SUMO 2/3检测试剂盒 | BK162 | SUMO 2/3修饰 |
乙酰化赖氨酸检测试剂盒 | BK163 | 赖氨酸乙酰化修饰 |
Signal-Seeker试剂盒的主要特点包括:检测内源性PTM修饰的高灵敏度、通用裂解过滤系统、优化的去修饰化抑制剂防止检测过程中的修饰丢失、可用于研究多重PTM的串扰(如目标蛋白的泛素化和乙酰化),以及包含化学发光检测试剂,灵敏度比荧光检测高10倍,比显色检测高20倍。


在细胞骨架研究、信号转导分析与药物发现的全流程中,Cytoskeleton不仅是工具提供者,更是科学合作伙伴。选择Cytoskeleton,就是选择经过30年验证的专业细胞骨架研究经验与加速科学发现的专业支持。
艾美捷科技作为Cytoskeleton在中国区域的官方授权代理,提供全线产品技术支持与定制化服务。科研人员可通过艾美捷科技获得Cytoskeleton的全线产品和完善的技术支持,满足细胞骨架研究、信号转导分析、活细胞成像、药物筛选等领域的科研需求。

上一篇:LifeSensors
下一篇:StressMarq
细胞如何感知外力?细胞器膜张力如何调控代谢、分裂和信号传导?这些问题的答案,如今可通过 Halo-Flipper SC026 这一创新性荧光探针精准捕获。
Cytoskeleton公司作为细胞骨架研究领域的领导者,提供了一系列高质量的微管蛋白、试剂盒及相关产品,帮助研究人员深入探索微管的结构与功能
艾美捷科技为您推荐来源于活细胞染色领域领导品牌Cytoskeleton的全球畅销产品:兼容活/固定细胞或组织及其他染料的脂质染色探针
微信扫码在线客服